• Lịch công tác
  • Email
  • VietNamese
  • ABOUT US
  • SCIENTIFIC CAPACITY
  • SCIENTIFIC RESAERCH
    • Scientific projects
    • Research Products
  • SERVICES
    • Agricultural and rural development Consulting
    • Land management consulting
    • Environmental consulting
    • Environmental monitoring
    • Occupational safety and hygiene training
  • TRAINING
  • CONTACT US
  • Trang chủ
Trang chủ Thông báo
  •   GMT +7
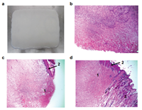
[CNVS – REVIEW] Định tính enzyme collagenase từ vi khuẩn không gây bệnh Lysinibacillus sphaericus VN3
[CNVS – REVIEW] Định tính enzyme collagenase từ vi khuẩn không gây bệnh Lysinibacillus sphaericus VN3
06/10/2022 10:23
Collagenase của vi khuẩn là một loại enzyme có thể được tìm thấy ở cả loài gây bệnh và không gây bệnh. Nó đã được sử dụng trong các lĩnh vực khác nhau như công nghiệp, y tế hoặc lĩnh vực môi trường.
[CNVS – REVIEW] Định tính enzyme collagenase từ vi khuẩn không gây bệnh Lysinibacillus sphaericus VN3
[CNVS – REVIEW] Định tính enzyme collagenase từ vi khuẩn không gây bệnh Lysinibacillus sphaericus VN3
06/10/2022 10:22
Collagenase của vi khuẩn là một loại enzyme có thể được tìm thấy ở cả loài gây bệnh và không gây bệnh. Nó đã được sử dụng trong các lĩnh vực khác nhau như công nghiệp, y tế hoặc lĩnh vực môi trường.
Khoa Tài nguyên và Môi trường khởi động dự án Kick-off meeting -CapaViet3
Khoa Tài nguyên và Môi trường khởi động dự án (Kick-off meeting)-CapaViet3
05/10/2022 14:51
Tiếp nối thành công của dự án CapaViet1 và CapaViet2 về hỗ trợ chuyển giao công nghệ và kinh nghiệm, cũng như xây dựng năng lực cho các chuyên gia trong nước và khu vực để phát triển hồ sơ địa chính ô nhiễm đất tại Việt Nam do Bộ Môi trường, Bảo tồn thiên nhiên và An toàn hạt nhân Cộng hòa Liên Bang Đức (BMU) tài trợ
Thông báo về việc đề xuất đề tài cấp HVTĐ, cấp HV và hướng dẫn SVNCKH năm 2023
05/10/2022 09:26
Tập huấn xây dựng chương trình đào tạo Thạc sĩ Sinh thái nông nghiệp
Tập huấn xây dựng chương trình đào tạo Thạc sĩ Sinh thái nông nghiệp
04/10/2022 16:21
Trong khuôn khổ dự án: Xây dựng chương trình đào tạo thạc sĩ Sinh thái nông nghiệp thuộc chương trình Erasmus+, từ ngày 29/8 đến 02/9/2022, tại Đại học Huế diễn ra Hội thảo tập huấn về xây dựng chương trình đào tạo dành cho giảng viên và cán bộ hành chính thuộc Dự án
Hội thảo “Cải thiện khả năng phục hồi về mặt kinh tế và xã hội của lao động di cư ở miền Bắc Việt Nam trong đại dịch Covid-19”
Hội thảo “Cải thiện khả năng phục hồi về mặt kinh tế và xã hội của lao động di cư ở miền Bắc Việt Nam trong đại dịch Covid-19”
04/10/2022 10:54
Nơi đào tạo nguồn nhân lực chất lượng cao cho xã hội
Nơi đào tạo nguồn nhân lực chất lượng cao cho xã hội
04/10/2022 10:43
Sinh viên học tập và làm theo lời Bác Hoàn thiện bản thân để trưởng thành
Sinh viên học tập và làm theo lời Bác: Hoàn thiện bản thân để trưởng thành
04/10/2022 10:35
LỊCH CÔNG TÁC TUẦN TỪ 03/10/2022 ĐẾN 09/10/2022
04/10/2022 10:20
LỊCH BẢO VỆ LUẬN VĂN THẠC SĨ NGÀNH CHĂN NUÔI THÚ Y ĐỢT 3 NĂM 2022
04/10/2022 10:19
 
 
793 794 795 796
 
 

ACADEMY FOR GREEN GROWTH

Vietnam National University of Agriculture

Add: Trau Quy town -  Gia Lam district - Hanoi - Vietnam
Web: http://agg.vnua.edu.vn, email: agg@vnua.edu.vn
Tel: +84 024 66583219      Fax: +84 024.38361283

Copyright © 2015 VNUA. All rights reserved.  Facebook google  Twitter Youtube

Đang trực tuyến:
1,437

Đã truy cập:
1,804,498